Bioresponsive Materials Lab
Our lab seeks to develop biomaterial and therapeutic delivery systems that specifically respond to cell-generated signals. These next-generation, "smart" material systems enable us to engineer comprehensive regeneration of damaged or diseased tissues.
Overview
Specific applications for these healing-responsive technologies include:
- Large-scale regeneration of orthopedic injuries or defects
- Healing of chronic skin wounds
- Elimination of dental implant infections
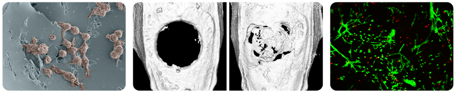
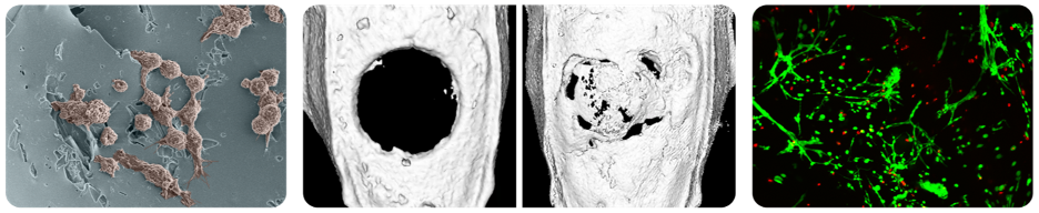
The Bioresponsive Materials Lab seeks to develop new technologies for orchestrating regeneration of diseased or damaged tissues. Current regenerative systems primarily rely on 1) material implants whose biodegradation rates can drastically diverge from the pace of new tissue formation, and 2) poorly controlled pharmaceutic delivery that incompletely recapitulate natural healing processes. Consequently, there remains a need for regenerative medicine platforms that can selectively release therapeutics and biodegrade in response to localized, cell-specific healing responses.
Therefore, our group explores bioresponsive, "smart" material systems that leverage precise, cell-generated signals (including presence of reactive oxygen species, pH changes, and enzymatic activity) to activate biomaterial functionality and guide tissue regeneration.
- Critically-sized bone defects are conventionally treated with patient-derived bone grafts; as such, "off-the-shelf" bone replacement therapies would improve patient quality of life and reduce healthcare costs.
- Though newer composites with inorganic ceramics and biodegradable synthetic polymers have shown promise as osteoinductive scaffolds, many conventional polyester-based systems are prone to autocatalytic degradation and premature implant failure in preclinical testing.
- To combat the disconnect between bone regeneration rates and scaffold degradation kinetics, our lab will seek to develop a cell-degradable bone substitute.
- A specifically cell-degradable implant will marry implant resorption with healing kinetics, thus preventing premature implant failure and improving bone regeneration outcomes.
- Most localized drug delivery platforms focus on the sustained delivery of a single therapeutic agent, while natural regeneration cascades feature a multitude of sequential or overlapping signalling pathways.
- Drug delivery systems featuring layer-by-layer (LbL) coatings demonstrate precise control over the timing and dosing of therapeutic delivery; however, LbL films have been typically been constrained to coatings on pre-formed implants.
- This work will seek to develop injectable, cell-degradable microparticles coated with cell-degradable LbL constructs, thereby combining the tunability of LbL drug delivery with the minimally-invasive delivery of microparticles.
- These microparticle / LbL systems will be able to facilitate locally-responsive, multi-stage delivery of therapeutics via an injectable format.
- Dental implants are highly susceptible to bacterial colonization and are conventionally treated by systemic antibiotics (with ensuing off-target effects).
- Our initial goal is to explore the local tissue environment surrounding infected dental implants to identify infection-specific hallmarks such as bacterial toxins, pH changes, oxidative stress, etc.
- After identifying suitable targets, efforts will focus on creating layer-by-layer drug coatings on the surfaces of implants that selectively release antibiotics in response to infection-specific stimuli.
- Responsive antibiotic-releasing drug coatings will drastically extend payload delivery timelines and could serve as a prophylactic for infection prevention.
Martin JR, Howard MT, Wang S, Berger AG, Hammond PT. Oxidation‐Responsive, Tunable Growth Factor Delivery from Polyelectrolyte‐Coated Implants. Advanced Healthcare Materials 2021, 2001941.
Martin JR*, Patil P*, Yu F, Gupta MK, Duvall CL. Enhanced stem cell retention and antioxidative protection with injectable, ROS-degradable PEG hydrogels. Biomaterials 2020. 263: 120377. *Equally contributing authors.
Patil P*, Martin JR*, Sarett SM, Pollins AC, Cardwell NL, Davidson JM, Guelcher SA, Nanney LB, Duvall CL. Porcine Ischemic Wound Healing Model for Preclinical Testing of Degradable Biomaterials. Tissue Engineering Part C 2017; 23(11): 754 - 762. *Equally contributing authors
Martin JR, Nelson CE, Gupta MK, Yu F, Sarett SM, Hocking KM, Pollins AC, Nanney LB, Davidson JM, Guelcher SA, Duvall CL. Local Delivery of PHD2 siRNA from ROS-Degradable Scaffolds to Promote Diabetic Wound Healing. Advanced Healthcare Materials 2016; 5(21): 2751 – 2757.
Martin JR, Gupta MK, Page JM, Yu F, Davidson JM, Guelcher SA, Duvall CL. A Porous Tissue Engineering Scaffold Selectively Degraded by Cell-Generated Reactive Oxygen Species. Biomaterials 2014; 35(12): 3766 – 3776
Additional Publications
- Duru I, Büyük NI, Köse GT, Marques DW, Bruce KA, Martin JR, Ege D. Incorporating the antioxidant Fullerenol into calcium phosphate bone cements increases cellular osteogenesis without compromising physical cement characteristics. Advanced Engineering Materials 2023; 25: 2300301.
- Howard MT, Wang S, Berger AG, Martin JR, Jalili-Firoozinezhad S, Padera RF, Hammond PT. Sustained release of BMP-2 using self-assembled layer-by-layer film-coated implants enhances bone regeneration over burst release. Biomaterials 2022; 288: 121721.
- Martin JR, Duvall CL. "Oxidation State as a Bioresponsive Trigger". Oxidative Stress and Biomaterials: The Science, Challenges, and Opportunities. Eds. Dziubla TD, Butterfield DA. Academic Press, Cambridge, MA, 2016; 225 – 250.
- He Y, Hong C, Li J, Howard MT, Li Y, Turvey ME, Uppu DS, Martin JR, Zhang K, Irvine DJ, Hammond PT. Synthetic Charge-Invertible Polymer for Rapid and Complete Implantation of Layer-by-Layer Microneedle Drug Films for Enhanced Transdermal Vaccination. ACS Nano 2018; 12(10): 10272-10280.
- Gupta MK, Martin JR, Dollinger BR, Hattaway ME, Duvall CL. Injectable, Thermogelling, ABC Triblock Copolymer Platform for Resorbable Hydrogels with Tunable, Degradation-Mediated Drug Release. Advanced Functional Materials 2017; 27(47): 1704107.
- Dollinger BR, Gupta MK, Martin JR, Duvall CL. Antioxidant, Thermoresponsive Hydrogel Protects Cells from ROS-Induced Cytotoxicity. Tissue Engineering Part A 2017; 23(19-20): 1120 – 1131.
- Patil P, Russo KJ, McCune JT, Pollins AC, Cottam MA, Dollinger BR, DeJulius CR, Gupta MK, D’Arcy R, Colazo JM, Yu F, Bezold MG, Martin JR, Cardwell NL, Davidson JM, Thompson CM, Barbul A, Hasty AH, Guelcher SA, Duvall CL. Reactive Oxygen Species–Degradable Polythioketal Urethane Foam Dressings to Promote Porcine Skin Wound Repair. Science Translational Medicine, 2022; 14(641): eabm6586.
- Poole KM, Nelson CE, Joshi RV, Martin JR, Gupta MK, Haws SC, Kavanaugh TE, Skala MC, Duvall CL. ROS-Responsive Microspheres for On Demand Antioxidant Therapy in a Model of Diabetic Peripheral Arterial Disease. Biomaterials 2015; 41: 166 - 175.
- Gupta MK, Martin JR, Werfel TA, Shen T, Page JM, Duvall CL. Cell Protective, ABC Triblock Polymer-Based Thermoresponsive Hydrogels with ROS-Triggered Degradation and Drug Release. Journal of the American Chemical Society 2014; 136(42): 14896 – 14902.
We are currently seeking talented and motivated students from a broad range of disciplines - apply today!
Graduate Students
Potential graduate students (both Masters and Doctoral) should contact Dr. Martin by email and can apply for admission through the University of Cincinnati online portal.
- Biomedical Engineering Ph.D. program admission requirements
- Biomedical Engineering Masters program admission requirements
Undergraduate Students
Undergraduates interested in research opportunities should contact Dr. Martin by email. We are prepared to host students from all levels of prior experience and from a broad background of majors, including engineering, materials science, biology, physics, and chemistry.
Graduate Students
Karina Bruce, B.S.
Karina Bruce is a third year Ph.D. student developing inflammation-responsive antibiotic coatings to combat bacterial infections in bone fractures.
Dylan Marques, B.S.
Dylan Marques is a fourth year Ph.D. student working towards a dual phase drug delivery system for regenerating cranial defects.
Reinaldo Dos Santos, B.S.
Reinaldo Dos Santos is a fourth year Ph.D. student developing cell-degradable tissue engineering materials for regenerating bone defects and improving fracture fixation.
Undergraduate Students
Emma-Louise Lowell
Emma-Louise Lowell is a fourth year Chemical Engineering undergraduate student and Research Co-op student. She is developing new responsive microparticles for drug delivery.
Maddie Nardo
Maddie Nardo is a fifth year Biomedical Engineering undergraduate and a Research Capstone student. She is developing drug coatings to prevent bone graft resorption.
Hari Murali
Hari Murali is a second year Biomedical Engineering undergraduate student and a 2023 Protégé Scholar. He is developing new calcium-scavenging hydrogels.
Angela Castillo Alvarez
Angela Castillo Alvarez is a visiting international Biotechnology Engineering undergraduate student from Tecnológico de Monterrey. She is developing new antibiotic drug coatings for medical implants.
Lebogang Ngirwa
Lebogang Ngirwa is a second year Biomedical Engineering undergraduate student and a Research Volunteer in the lab.
Lab Alumni
- Andrew Hoffmann – UC BME – Co-op/Senior Capstone 2024
- Andrea Frankel – UC BME – Master of Engineering/Senior Capstone 2024
- Nick Hughes – UC BME – Co-op 2023
- Adolphus Addison – UC BME – Protégé Scholar 2023
- İlayda Duru – Visiting PhD Scholar (Boğaziçi University, Turkey) 2022
- Brooke Hunn – UC ChemE – LSAMP Scholar 2022
- Sumedha Kappagantula – UC BME – Co-op 2022
- Saad Khan – UC BME – Protégé Scholar 2022
- Madison Davis – UC BME – Research Co-op 2023
- Ardeena Ahmed – UC BME– Protégé Scholar 2021
- Ian Doemling – UC MechE – Master of Engineering 2022
- Alan Fullenkamp – UC BME – Co-op/Senior Capstone 2021-2022
- Samuel Effah-Abrefah – UC BME – Research Volunteer 2022
Contact Us
The Bioresponsive Materials Lab is located in lab 120 in the UC Bioscience Center on the east medical campus at the University of Cincinnati in Cincinnati, OH.
Address:
UC Bioscience Center
3159 Eden Avenue
Cincinnati, OH 45219-0048
Follow us on Twitter! @MartinLab_UC
Director & Principal Investigator
John Robert Martin
Asst Professor (F2), CEAS - Biomedical Eng
134 UCBIOSCI
Dr. Martin leads the Bioresponsive Materials Lab at UC, exploring “smart” biomaterial systems that leverage precise cell-generated signals (including reactive oxygen species and enzymatic activity) to activate biomaterial functionality and guide tissue regeneration. This interdisciplinary research integrates polymer science and materials engineering alongside pharmacology and biology to build new systems for regenerating orthopedic injuries in the clinic.